Vì sao không nên làm răng sứ khi bị đau khớp thái dương hàm

1. Đau khớp thái dương hàm và mối liên quan với làm răng sứ

Đau khớp thái dương hàm là tình trạng rối loạn vận động khớp hàm. Khớp này giữ vai trò điều phối toàn bộ hoạt động ăn nhai. Trong khi đó, làm răng sứ có thể thay đổi khớp cắn. Khi hai yếu tố này xuất hiện đồng thời, nguy cơ mất cân bằng khớp tăng cao. Vì vậy, thời điểm làm răng sứ cần được cân nhắc kỹ lưỡng.


2. Vì sao làm răng sứ khi đang bị TMJ là sai thời điểm

Khi đang đau khớp thái dương hàm, khớp cắn thường không ổn định. Việc làm răng sứ lúc này dễ ghi nhận sai vị trí cắn. Ngoài ra, mão sứ có thể tạo điểm chạm sớm. Điều này làm tăng áp lực lên khớp đang tổn thương. Vì vậy, triệu chứng TMJ có xu hướng nặng hơn sau điều trị.

Các lý do chính gồm:

  • Khớp cắn sai lệch do khớp hàm đang viêm

  • Tăng tải lực nhai lên khớp thái dương hàm

  • Kích thích co thắt cơ hàm nhiều hơn

  • Khó đánh giá chính xác chiều cao cắn

  • Nguy cơ phải làm lại răng sứ sau này

nha-khoa-lovely-khop-thai-duong-ham.jpg


3. Dấu hiệu cho thấy TMJ có thể nặng hơn sau khi làm răng sứ

Một số người nhận thấy cơn đau tăng rõ sau khi bọc sứ. Triệu chứng thường xuất hiện sớm trong sinh hoạt hằng ngày. Ngoài ra, cảm giác mỏi hàm kéo dài hơn trước. Đồng thời, việc ăn nhai trở nên khó chịu. Vì vậy, cần đặc biệt lưu ý các dấu hiệu sau.

Biểu hiện thường gặp gồm:

  • Đau khớp thái dương hàm tăng dần

  • Cứng hàm, khó há miệng

  • Đau đầu, đau tai sau làm răng

  • Cảm giác cắn không khít, lệch hàm

  • Mỏi cơ hàm kéo dài nhiều ngày


4. Nguy cơ và biến chứng có thể xảy ra

Nếu tiếp tục duy trì răng sứ khi khớp chưa ổn định, biến chứng dễ xảy ra. Khớp hàm có thể bị quá tải kéo dài. Ngoài ra, rối loạn cơ nhai trở nên mạn tính. Đồng thời, việc điều chỉnh sau này phức tạp hơn nhiều. Vì vậy, hậu quả không chỉ dừng ở đau hàm.

Các biến chứng thường gặp:

  • Đau khớp thái dương hàm mạn tính

  • Thoái hóa khớp sớm

  • Rối loạn khớp cắn kéo dài

  • Phải tháo bỏ hoặc làm lại răng sứ

  • Ảnh hưởng ăn nhai và chất lượng sống


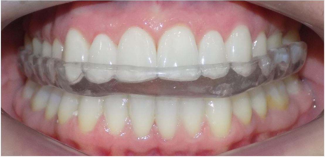
5. Hướng xử trí đúng trước khi quyết định làm răng sứ

Nguyên tắc quan trọng là kiểm soát TMJ trước. Khi khớp hàm ổn định, việc phục hình mới an toàn. Ngoài ra, bác sĩ cần đánh giá toàn diện khớp cắn. Đồng thời, kế hoạch răng sứ phải cá nhân hóa. Vì vậy, không nên vội vàng can thiệp thẩm mỹ.

Hướng xử trí thường được khuyến nghị:

  • Điều trị ổn định đau khớp thái dương hàm

  • Dùng máng nhai thư giãn cơ hàm

  • Vật lý trị liệu và tập vận động hàm

  • Đánh giá khớp cắn sau điều trị TMJ

  • Chỉ làm răng sứ khi khớp đã ổn định

mang-nhai-khop-thai-duong-ham


6. Khi nào có thể làm răng sứ an toàn sau TMJ

Không phải mọi trường hợp TMJ đều chống chỉ định răng sứ vĩnh viễn. Điều quan trọng là thời điểm phù hợp. Khi triệu chứng đã ổn định, khớp cắn rõ ràng hơn. Ngoài ra, bác sĩ có thể kiểm soát lực nhai chính xác. Vì vậy, làm răng sứ lúc này sẽ an toàn hơn.

Có thể cân nhắc làm răng sứ khi:

  • Hết đau hoặc đau giảm rõ rệt

  • Khớp hàm vận động ổn định

  • Không còn há miệng hạn chế

  • Đã được bác sĩ đánh giá khớp cắn

  • Có kế hoạch phục hình kiểm soát lực nhai


7. Kết luận và định hướng hành động

Làm răng sứ khi đang đau khớp thái dương hàm là lựa chọn tiềm ẩn nhiều rủi ro. Sai thời điểm có thể khiến bệnh nặng hơn và kéo dài. Việc ưu tiên điều trị TMJ trước giúp bảo vệ khớp hàm lâu dài. Vì vậy, người bệnh không nên chủ quan với đau hàm. Hãy thăm khám chuyên khoa để được tư vấn đúng hướng.

ĐĂNG KÝ TƯ VẤN MIỄN PHÍ